top of page
Odontologo Egresado del Colegio Odontologico clave en Ciudad de Cali .
Experto en Diseño de sonrisa que garantiza confianza, con mucha dedicacion amor y esfuerzo
lo que lo ha llevado a ser el preferido y más reconocido por pacientes al rededor del mundo, quienes constantemente buscan su excelente servicio y experiencia de lujo.
Quien es Yerson Hernandez?

Experiencias
Vivencias de nuestros pacientes
Desde la primera consulta hasta el seguimiento final, nos esforzamos por atender a cada paciente con atención y profesionalismo, lo que nos ha ganado una clientela fiel en el mundo Siga leyendo para conocer más acerca de las vivencias de los pacientes en nuestra clínica.

Paola
"hola soy paola vengo de Montreal - Canada y estoy super satisfecha con mi sonrisa , Super Recomendados"

Daniela
"Hola, quería recomendarle el servicio del doctor, siempre que me hacen un procedimiento le hacen seguimiento hasta el final"
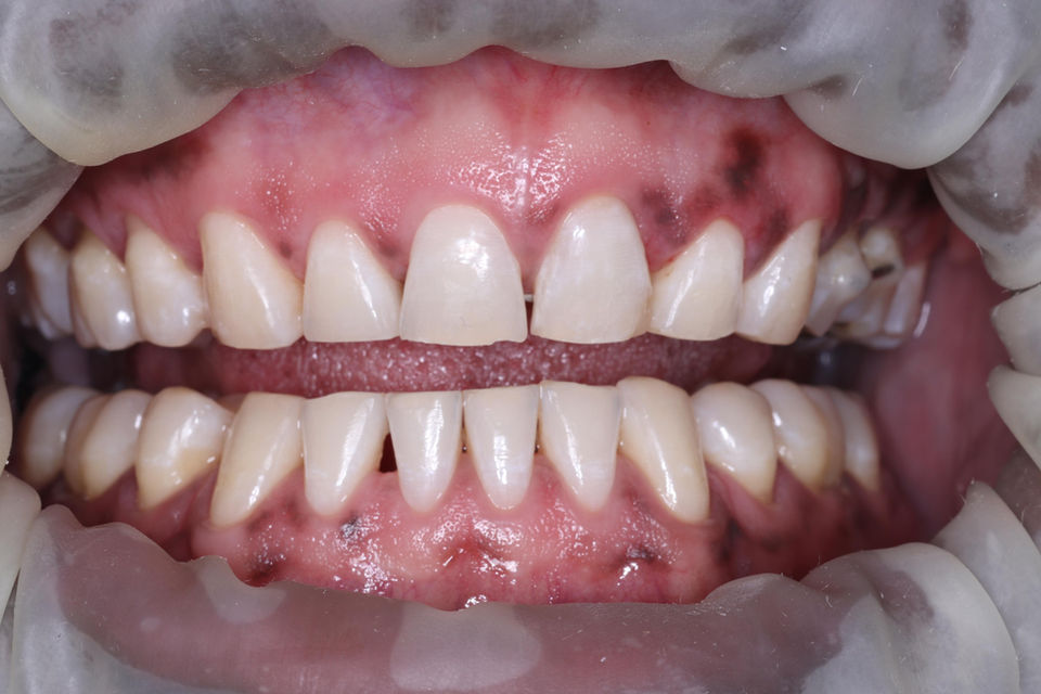
Nuestra Galería
bottom of page



























